英文名稱(chēng): Anti-LRIF1 rabbit polyclonal antibody
|
Background: |
Represses the ligand-induced transcriptional activity of retinoic acid receptor alpha (RARA). This repression may occur through direct recruitment of histone deacetylases. |
|
Applications: |
ELISA, IHC |
|
Name of antibody: |
LRIF1 |
|
Immunogen: |
Fusion protein of human LRIF1 |
|
Full name: |
ligand dependent nuclear receptor interacting factor 1 |
|
Synonyms: |
RIF1; C1orf103 |
|
SwissProt: |
Q5T3J3 |
|
ELISA Recommended dilution: |
5000-10000 |
|
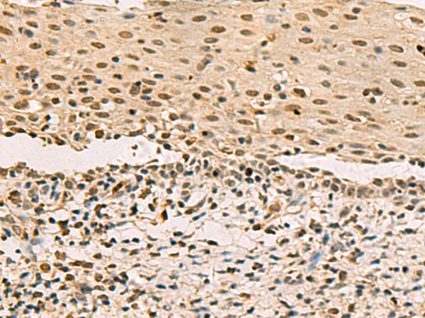
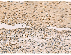
IHC positive control: |
Human cervical cancer |
|
IHC Recommend dilution: |
50-200 |

購(gòu)物車(chē)
幫助
021-54845833/15800441009
