儲(chǔ) 存: 冷凍(-20℃)
|
Background: |
This gene product is highly similar to Schizosaccharomyces pombe rad9, a cell cycle checkpoint protein required for cell cycle arrest and DNA damage repair. This protein possesses 3' to 5' exonuclease activity, which may contribute to its role in sensing and repairing DNA damage. It forms a checkpoint protein complex with RAD1 and HUS1. This complex is recruited by checkpoint protein RAD17 to the sites of DNA damage, which is thought to be important for triggering the checkpoint-signaling cascade. Alternatively spliced transcript variants encoding different isoforms have been found for this gene. |
|
Applications: |
WB, IP |
|
Name of antibody: |
RAD9A |
|
Immunogen: |
Fusion protein of human RAD9A |
|
Full name: |
RAD9 checkpoint clamp component A |
|
Synonyms: |
RAD9 |
|
SwissProt: |
Q99638 |
|
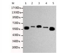
WB Predicted band size: |
43 kDa |
|
WB Positive control: |
Rat testis tissue, MCF7, COS7, Hela and 3T3 cell lysates |
|
WB Recommended dilution: |
500-2000 |

購(gòu)物車
幫助
021-54845833/15800441009
