中文名稱:兔抗GATA1多克隆抗體
宿 主: Rabbit
|
Background: |
This gene encodes a protein which belongs to the GATA family of transcription factors. The protein plays an important role in erythroid development by regulating the switch of fetal hemoglobin to adult hemoglobin. Mutations in this gene have been associated with X-linked dyserythropoietic anemia and thrombocytopenia. |
|
Applications: |
ELISA, IHC |
|
Name of antibody: |
GATA1 |
|
Immunogen: |
Synthetic peptide of human GATA1 |
|
Full name: |
GATA binding protein 1 (globin transcription factor 1) |
|
Synonyms: |
GF1; GF-1; NFE1; XLTT; ERYF1; NF-E1; XLANP; XLTDA; GATA-1 |
|
SwissProt: |
P15976 |
|
ELISA Recommended dilution: |
5000-10000 |
|
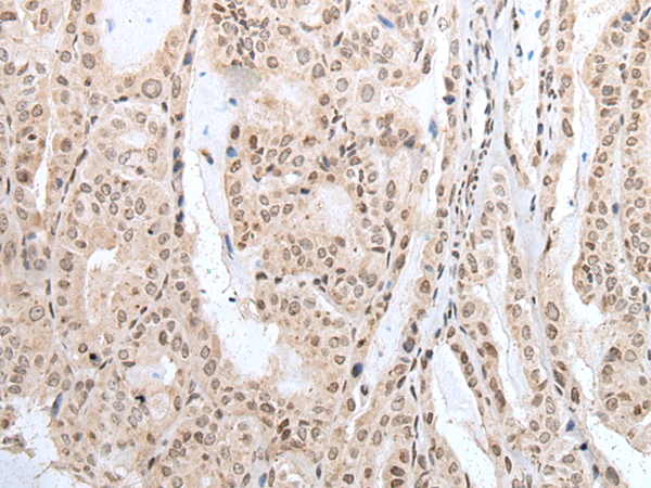
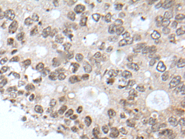
IHC positive control: |
Human thyroid cancer and human colorectal cancer |
|
IHC Recommend dilution: |
25-100 |


購物車
幫助
021-54845833/15800441009
