中文名稱: 兔抗ADGRG1多克隆抗體
|
Background: |
This gene encodes a member of the G protein-coupled receptor family and regulates brain cortical patterning. The encoded protein binds specifically to transglutaminase 2, a component of tissue and tumor stroma implicated as an inhibitor of tumor progression. Mutations in this gene are associated with a brain malformation known as bilateral frontoparietal polymicrogyria. Alternative splicing results in multiple transcript variants. |
|
Applications: |
ELISA, IHC |
|
Name of antibody: |
ADGRG1 |
|
Immunogen: |
Synthetic peptide of human ADGRG1 |
|
Full name: |
adhesion G protein-coupled receptor G1 |
|
Synonyms: |
BFPP; BPPR; GPR56; TM7LN4; TM7XN1 |
|
SwissProt: |
Q9Y653 |
|
ELISA Recommended dilution: |
5000-10000 |
|
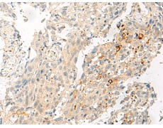
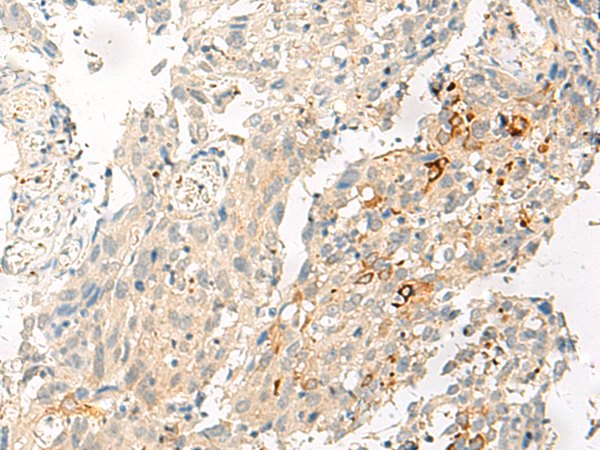
IHC positive control: |
Human cervical cancer and Human ovarian cancer |
|
IHC Recommend dilution: |
20-100 |
購物車
幫助
021-54845833/15800441009
