中文名稱:兔抗APBB2多克隆抗體
|
Background: |
The protein encoded by this gene interacts with the cytoplasmic domains of amyloid beta (A4) precursor protein and amyloid beta (A4) precursor-like protein 2. This protein contains two phosphotyrosine binding (PTB) domains, which are thought to function in signal transduction. Polymorphisms in this gene have been associated with Alzheimer's disease. Alternative splicing results in multiple transcript variants. |
|
Applications: |
WB, IHC |
|
Name of antibody: |
APBB2 |
|
Immunogen: |
Synthesized peptide derived from internal of human APBB2. |
|
Full name: |
amyloid beta (A4) precursor protein-binding, family B, member 2 |
|
Synonyms: |
FE65L; FE65L1 |
|
SwissProt: |
Q92870 |
|
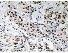
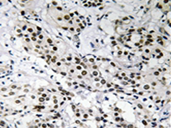
IHC positive control: |
Human breast carcinoma tissue |
|
IHC Recommend dilution: |
50-100 |
|
WB Predicted band size: |
83 kDa |
|
WB Positive control: |
LOVO cells lysate |
|
WB Recommended dilution: |
500-3000 |
購物車
幫助
021-54845833/15800441009
