|
Background: |
This gene is a member of the peptidase C19 family and encodes a protein that is similar to ubiquitin-specific proteases. Though this gene is located on the X chromosome, it escapes X-inactivation. Mutations in this gene have been associated with Turner syndrome. Alternate transcriptional splice variants, encoding different isoforms, have been characterized. |
|
Applications: |
ELISA, IHC |
|
Name of antibody: |
USP9X |
|
Immunogen: |
Synthetic peptide of humanUSP9X |
|
Full name: |
ubiquitin specific peptidase 9, X-linked |
|
Synonyms: |
FAF; FAM; DFFRX; MRX99 |
|
SwissProt: |
Q93008 |
|
ELISA Recommended dilution: |
2000-10000 |
|
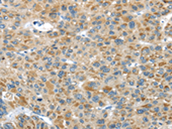
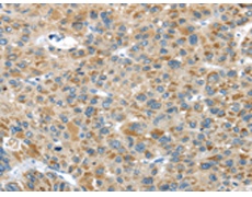
IHC positive control: |
Human liver cancer |
|
IHC Recommend dilution: |
30-150 |
購(gòu)物車(chē)
幫助
021-54845833/15800441009
