|
Background: |
The regulation of the intracellular concentration of calcium is important for proper maintenance of voltage-gated ion channels which control muscle and nerve function. Calcium homeostasis is regulated by a variety of proteins. CHERP (calcium homeostasis endoplasmic reticulum protein), also known as SRA1, DAN16 or SCAF6, is a 916 amino acid protein that localizes to the cytoplasm and the endoplasmic reticulum (ER). Expressed in pancreas, brain, lung, placenta, liver, kidney, heart and skeletal muscle, CHERP is involved in maintaining calcium homeostasis and plays a role in cell growth and proliferation. CHERP contains one G-patch domain, one RPR domain and one SURP motif and is expressed as two isoforms due to alternative splicing events. |
|
Applications: |
ELISA, IHC |
|
Name of antibody: |
CHERP |
|
Immunogen: |
Fusion protein corresponding to a region derived from 738-916 amino acids of human CHERP |
|
Full name: |
calcium homeostasis endoplasmic reticulum protein |
|
Synonyms: |
SRA1; DAN16; SCAF6 |
|
SwissProt: |
Q8IWX8 |
|
ELISA Recommended dilution: |
5000-10000 |
|
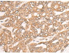
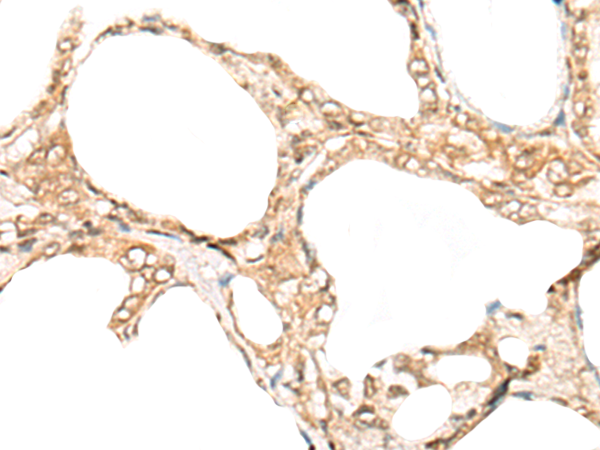
IHC Positive control: |
Human thyroid cancer;Human liver cancer |
|
IHC Recommended dilution: |
20-100 |
購物車
幫助
021-54845833/15800441009
