中文名稱: 兔抗GDF15多克隆抗體
英文名稱: Anti-GDF15 rabbit polyclonal antibody
|
Background: |
This gene encodes a secreted ligand of the TGF-beta (transforming growth factor-beta) superfamily of proteins. Ligands of this family bind various TGF-beta receptors leading to recruitment and activation of SMAD family transcription factors that regulate gene expression. The encoded preproprotein is proteolytically processed to generate each subunit of the disulfide-linked homodimer. The protein is expressed in a broad range of cell types, acts as a pleiotropic cytokine and is involved in the stress response program of cells after cellular injury. Increased protein levels are associated with disease states such as tissue hypoxia, inflammation, acute injury and oxidative stress. |
|
Applications: |
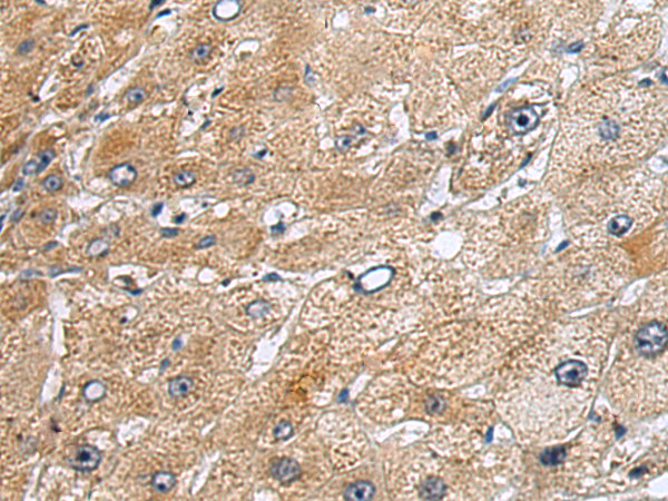
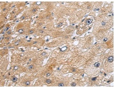
ELISA, IHC |
|
Name of antibody: |
GDF15 |
|
Immunogen: |
Fusion protein of human GDF15 |
|
Full name: |
growth differentiation factor 15 |
|
Synonyms: |
PDF; MIC1; PLAB; MIC-1; NAG-1; PTGFB; GDF-15 |
|
SwissProt: |
Q99988 |
|
ELISA Recommended dilution: |
5000-10000 |
|
IHC positive control: |
Human liver cancer |
|
IHC Recommend dilution: |
150-300 |

購物車
幫助
021-54845833/15800441009
