|
Background: |
Acts as part of the IKK complex in the conventional pathway of NF-kappa-B activation and phosphorylates inhibitors of NF-kappa-B thus leading to the dissociation of the inhibitor/NF-kappa-B complex and ultimately the degradation of the inhibitor. As part of the non-canonical pathway of NF-kappa-B activation, the MAP3K14-activated CHUK/IKKA homodimer phosphorylates NFKB2/p100 associated with RelB, inducing its proteolytic processing to NFKB2/p52 and the formation of NF-kappa-B RelB-p52 complexes. Also phosphorylates NCOA3. Phosphorylates 'Ser-10' of histone H3 at NF-kappa-B-regulated promoters during inflammatory responses triggered by cytokines. |
|
Applications: |
WB, IHC |
|
Name of antibody: |
CHUK (Phospho-Thr23) |
|
Immunogen: |
Synthetic peptide of human CHUK (Phospho-Thr23) |
|
Full name: |
conserved helix-loop-helix ubiquitous kinase (Phospho-Thr23) |
|
Synonyms: |
IKK1; IKKA; IKBKA; TCF16; NFKBIKA; IKK-alpha |
|
SwissProt: |
O15111 |
|
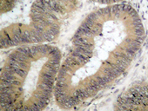
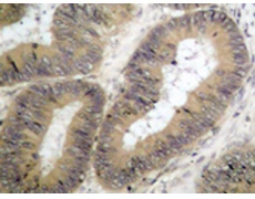
IHC positive control: |
Human colon carcinoma |
|
IHC Recommend dilution: |
50-100 |
|
WB Predicted band size: |
85 kDa |
|
WB Positive control: |
293 cells untreated or treated with TNF |
|
WB Recommended dilution: |
500-1000 |

購物車
幫助
021-54845833/15800441009
