中文名稱: 兔抗GIGYF1多克隆抗體
英文名稱: Anti-GIGYF1 rabbit polyclonal antibody
相關類別: 一抗
儲 存: 冷凍(-20℃)
宿 主: Rabbit
|
Background: |
This gene encodes a member of the gyf family of adaptor proteins. The encoded protein contains a gyf protein interaction domain. It binds growth factor receptor bound 10, another adaptor protein that binds activated insulin-like growth factor 1 and insulin receptors and regulates receptor signaling. |
|
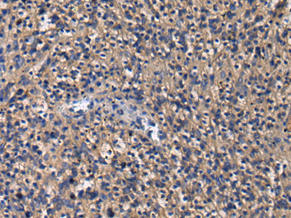
Applications: |
ELISA, IHC |
|
Name of antibody: |
GIGYF1 |
|
Immunogen: |
Synthetic peptide of human GIGYF1 |
|
Full name: |
GRB10 interacting GYF protein 1 |
|
Synonyms: |
GYF1; PERQ1 |
|
SwissProt: |
O75420 |
|
ELISA Recommended dilution: |
5000-10000 |
|
IHC positive control: |
Human brain |
|
IHC Recommend dilution: |
50-100 |

購物車
幫助
021-54845833/15800441009
