中文名稱:兔抗CIB2多克隆抗體
|
Background: |
The protein encoded by this gene is similar to that of KIP/CIB, calcineurin B, and calmodulin. The encoded protein is a calcium-binding regulatory protein that interacts with DNA-dependent protein kinase catalytic subunits (DNA-PKcs), and it is involved in photoreceptor cell maintenance. Mutations in this gene cause deafness, autosomal recessive, 48 (DFNB48), and also Usher syndrome 1J (USH1J). |
|
Applications: |
IHC |
|
Name of antibody: |
CIB2 |
|
Immunogen: |
Synthesized peptide derived from internal of human CIB2. |
|
Full name: |
calcium and integrin binding family member 2 |
|
Synonyms: |
KIP2; USH1J; DFNB48 |
|
SwissProt: |
O75838 |
|
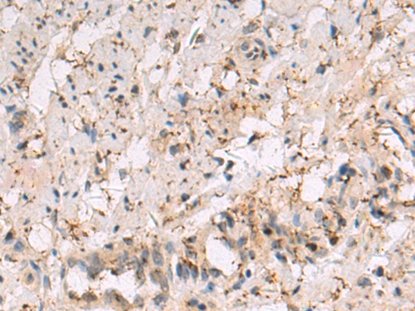
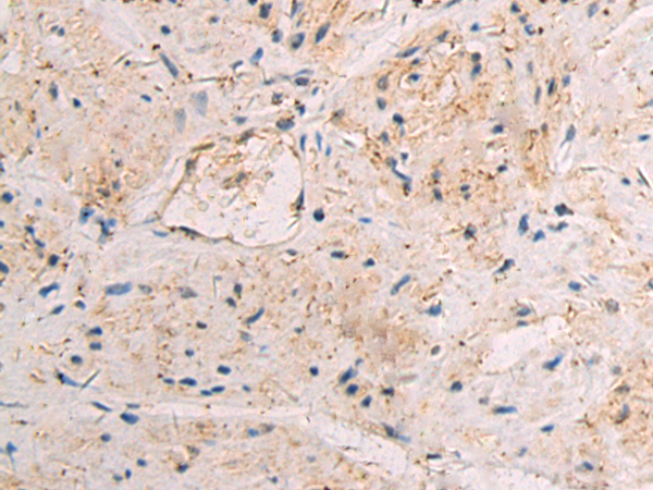
IHC positive control: |
Human breast carcinoma tissue |
|
IHC Recommend dilution: |
50-100 |
購物車
幫助
021-54845833/15800441009
