中文名稱:兔抗CIDEC多克隆抗體
|
Background: |
This gene encodes a member of the cell death-inducing DNA fragmentation factor-like effector family. Members of this family play important roles in apoptosis. The encoded protein promotes lipid droplet formation in adipocytes and may mediate adipocyte apoptosis. This gene is regulated by insulin and its expression is positively correlated with insulin sensitivity. Mutations in this gene may contribute to insulin resistant diabetes. A pseudogene of this gene is located on the short arm of chromosome 3. Alternatively spliced transcript variants that encode different isoforms have been observed for this gene. |
|
Applications: |
ELISA, WB, IHC |
|
Name of antibody: |
CIDEC |
|
Immunogen: |
Fusion protein of human CIDEC |
|
Full name: |
cell death inducing DFFA like effector c |
|
Synonyms: |
CIDE3; FPLD5; FSP27; CIDE-3 |
|
SwissProt: |
Q96AQ7 |
|
ELISA Recommended dilution: |
5000-10000 |
|
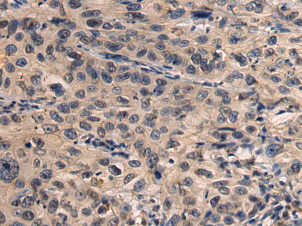
IHC positive control: |
Human esophagus cancer |
|
IHC Recommend dilution: |
50-100 |
|
WB Predicted band size: |
27 kDa |
|
WB Positive control: |
Mouse small intestines tissue lysate |
|
WB Recommended dilution: |
500-2000 |

購物車
幫助
021-54845833/15800441009
