|
Background: |
Members of the F-box protein family, such as FBXL16, are characterized by an approximately 40-amino acid F-box motif. SCF complexes, formed by SKP1 (MIM 601434), cullin (see CUL1; MIM 603134), and F-box proteins, act as protein-ubiquitin ligases. F-box proteins interact with SKP1 through the F box, and they interact with ubiquitination targets through other protein interaction domains (Jin et al., 2004 [PubMed 15520277]). |
|
Applications: |
ELISA, IHC |
|
Name of antibody: |
FBXL16 |
|
Immunogen: |
Synthetic peptide of human FBXL16 |
|
Full name: |
F-box and leucine rich repeat protein 16 |
|
Synonyms: |
Fbl16; C16orf22; c380A1.1 |
|
SwissProt: |
Q8N461 |
|
ELISA Recommended dilution: |
5000-10000 |
|
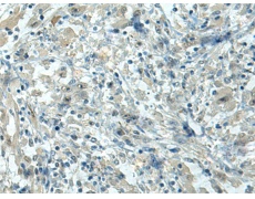
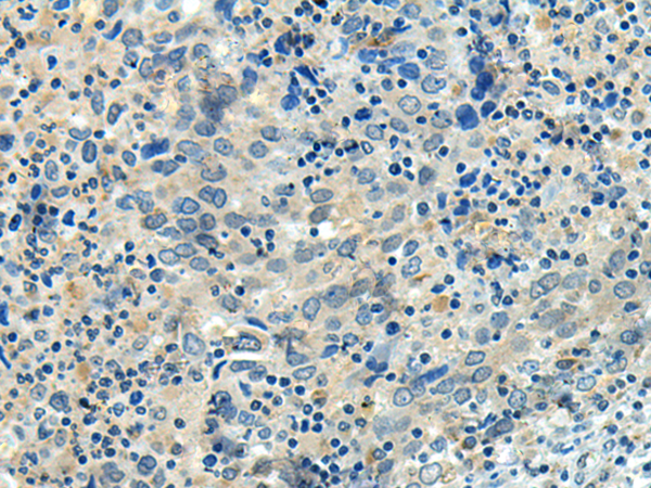
IHC positive control: |
Human cervical cancer and Human liver cancer |
|
IHC Recommend dilution: |
25-100 |
購物車
幫助
021-54845833/15800441009
