中文名稱:兔抗CIRBP多克隆抗體
|
Background: |
Cold-inducible mRNA binding protein that plays a protective role in the genotoxic stress response by stabilizing transcripts of genes involved in cell survival. Acts as a translational activator. Seems to play an essential role in cold-induced suppression of cell proliferation. Binds specifically to the 3'-untranslated regions (3'-UTRs) of stress-responsive transcripts RPA2 and TXN. Acts as a translational repressor (By similarity). Promotes assembly of stress granules (SGs), when overexpressed. |
|
Applications: |
ELISA, IHC |
|
Name of antibody: |
CIRBP |
|
Immunogen: |
Full length fusion protein |
|
Full name: |
cold inducible RNA binding protein |
|
Synonyms: |
CIRP |
|
SwissProt: |
Q14011 |
|
ELISA Recommended dilution: |
5000-10000 |
|
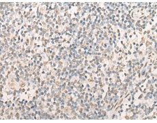
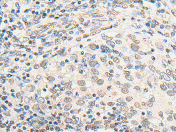
IHC positive control: |
Human cervical cancer;Human tonsil |
|
IHC Recommend dilution: |
20-100 |

購物車
幫助
021-54845833/15800441009
