中文名稱:兔抗CNNM3多克隆抗體
|
Background: |
The ACDP3 gene, designated CNNM3 by the HUGO Nomenclature Committee, encodes a deduced 707-amino acid protein. Northern blot analysis revealed ubiquitous expression of CNNM3. Immunofluorescence studies showed that all 4 CNMM proteins are predominantly localized in the nucleus. Acdp3 contains 4 transmembrane domains, 2 CBS domains, a DUF21 domain, and a cNMP-binding domain. It also has large alanine- and leucine-rich regions. Northern blot analysis detected variable Acdp3 expression in all mouse tissues examined, with highest expression in brain, kidney, liver, and heart. |
|
Applications: |
ELISA, WB, IHC |
|
Name of antibody: |
CNNM3 |
|
Immunogen: |
Fusion protein of human CNNM3 |
|
Full name: |
cyclin and CBS domain divalent metal cation transport mediator 3 |
|
Synonyms: |
ACDP3 |
|
SwissProt: |
Q8NE01 |
|
ELISA Recommended dilution: |
1000-2000 |
|
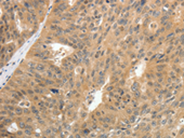
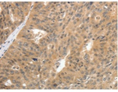
IHC positive control: |
Human ovarian cancer |
|
IHC Recommend dilution: |
25-100 |
|
WB Predicted band size: |
76 kDa |
|
WB Positive control: |
Mouse liver tissue |
|
WB Recommended dilution: |
200-1000 |

購(gòu)物車
幫助
021-54845833/15800441009
