|
Background: |
This gene encodes a protein that is part of the EGFR pathway. The protein is present at clatherin-coated pits and is involved in receptor-mediated endocytosis of EGF. Notably, this gene is rearranged with the HRX/ALL/MLL gene in acute myelogeneous leukemias. Alternative splicing results in multiple transcript variants encoding distinct isoforms. |
|
Applications: |
ELISA, IHC |
|
Name of antibody: |
EPS15 |
|
Immunogen: |
Synthetic peptide of human EPS15 |
|
Full name: |
epidermal growth factor receptor pathway substrate 15 |
|
Synonyms: |
AF1P; AF-1P; MLLT5 |
|
SwissProt: |
P42566 |
|
ELISA Recommended dilution: |
5000-10000 |
|
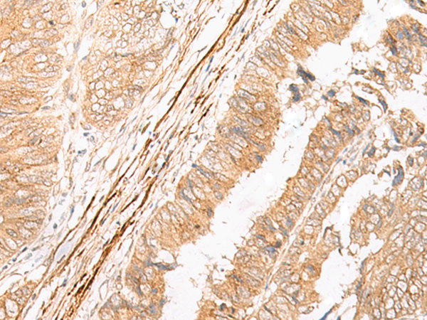
IHC positive control: |
Human cervical cancer and Human colorectal cancer |
|
IHC Recommend dilution: |
50-300 |

購(gòu)物車
幫助
021-54845833/15800441009
