中文名稱: 兔抗ARNT多克隆抗體
|
Background: |
Hypoxia-inducible factor 1 (HIF1) is a heterodimeric transcription factor that plays a critical role in the cellular response to hypoxia. The HIF1 complex consists of two subunits, HIF-1α and HIF-1β, which are basic helix-loop-helix proteins of the PAS (Per, ARNT, Sim) family. HIF1 regulates the transcription of a broad range of genes that facilitate responses to the hypoxic environment, including genes regulating angiogenesis, erythropoiesis, cell cycle, metabolism and apoptosis. The widely expressed HIF-1α is typically degraded rapidly in normoxic cells by the ubiquitin/proteasomal pathway. Under normoxic conditions, HIF-1α is proline hydroxylated leading to a conformational change that promotes binding to the von Hippel Lindau protein (VLH) E3 ligase complex; ubiquitination and proteasomal degradation follows. Both hypoxic conditions and chemical hydroxylase inhibitors (such as desferrioxamine and cobalt) inhibit HIF-1α degradation and lead to its stabilization. In addition, HIF-1α can be induced in an oxygen-independent manner by various cytokines through the PI3K-AKT-mTOR pathway.HIF-1β is also known as AhR nuclear translocator (ARNT) due to its ability to partner with the aryl hydrocarbon receptor (AhR) to form a heterodimeric transcription factor complex. Together with AhR, HIF-1β plays an important role in xenobiotics metabolism. In addition, a chromosomal translocation leading to a TEL-ARNT fusion protein is associated with acute myeloblastic leukemia. Studies also found that ARNT/HIF-1β expression levels decrease significantly in pancreatic islets from patients with type 2 diabetes, suggesting that HIF-1β plays an important role in pancreatic β-cell function. |
|
Applications: |
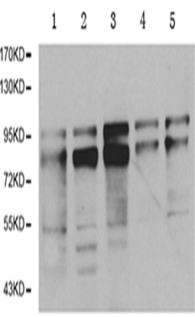
WB |
|
Name of antibody: |
ARNT |
|
Immunogen: |
Fusion protein of human ARNT |
|
Full name: |
aryl hydrocarbon receptor nuclear translocator |
|
Synonyms: |
ARNT; HIF-1beta; HIF1B; HIF1BETA; TANGO; bHLHe2 |
|
SwissProt: |
P27540 |
|
WB Predicted band size: |
87 kDa |
|
WB Positive control: |
Hepg2, MCF7, NIH3T3, U20S and Hela cells |
|
WB Recommended dilution: |
500-2000 |
購物車
幫助
021-54845833/15800441009
