中文名稱: 兔抗COG4多克隆抗體
|
Background: |
The protein encoded by this gene is a component of an oligomeric protein complex involved in the structure and function of the Golgi apparatus. Defects in this gene may be a cause of congenital disorder of glycosylation type IIj. Two transcript variants encoding different isoforms have been found for this gene. |
|
Applications: |
ELISA, IHC |
|
Name of antibody: |
COG4 |
|
Immunogen: |
Fusion protein of human COG4 |
|
Full name: |
component of oligomeric golgi complex 4 |
|
Synonyms: |
COD1; CDG2J; SWILS |
|
SwissProt: |
Q9H9E3 |
|
ELISA Recommended dilution: |
5000-10000 |
|
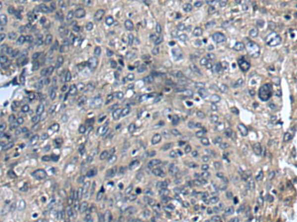
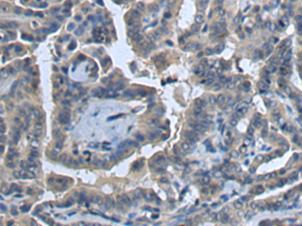
IHC positive control: |
Human thyroid cancer and Human cervical cancer |
|
IHC Recommend dilution: |
100-200 |

購物車
幫助
021-54845833/15800441009
