|
Background: |
This gene encodes zinc finger protein, which interacts with a receptor tyrosine kinase involved in the regulation of hematopoietic and lymphoid cells. This gene product also interacts with a transcription factor that regulates the expression of rod-specific genes in retina. |
|
Applications: |
ELISA, IHC |
|
Name of antibody: |
FIZ1 |
|
Immunogen: |
Synthetic peptide of human FIZ1 |
|
Full name: |
FLT3 interacting zinc finger 1 |
|
Synonyms: |
ZNF798 |
|
SwissProt: |
Q96SL8 |
|
ELISA Recommended dilution: |
5000-10000 |
|
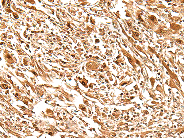
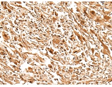
IHC positive control: |
Human esophagus cancer and Human liver cancer |
|
IHC Recommend dilution: |
40-200 |

購物車
幫助
021-54845833/15800441009
