|
Background: |
This gene encodes the alpha-3 chain, one of the three alpha chains of type VI collagen, a beaded filament collagen found in most connective tissues. The alpha-3 chain of type VI collagen is much larger than the alpha-1 and -2 chains. This difference in size is largely due to an increase in the number of subdomains, similar to von Willebrand Factor type A domains, that are found in the amino terminal globular domain of all the alpha chains. These domains have been shown to bind extracellular matrix proteins, an interaction that explains the importance of this collagen in organizing matrix components. Mutations in the type VI collagen genes are associated with Bethlem myopathy, a rare autosomal dominant proximal myopathy with early childhood onset. Mutations in this gene are also a cause of Ullrich congenital muscular dystrophy, also referred to as Ullrich scleroatonic muscular dystrophy, an autosomal recessive congenital myopathy that is more severe than Bethlem myopathy. Multiple transcript variants have been identified, but the full-length nature of only some of these variants has been described. |
|
Applications: |
IHC, IF |
|
Name of antibody: |
COL6A3 |
|
Immunogen: |
Synthesized peptide derived from internal of human Collagen VI α3. |
|
Full name: |
collagen, type VI, alpha 3 |
|
Synonyms: |
0 |
|
SwissProt: |
P12111 |
|
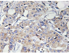
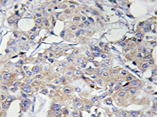
IHC positive control: |
Human breast carcinoma tissue |
|
IHC Recommend dilution: |
50-100 |
|
IF positive control: |
Hela cells |
|
IF Recommend dilution: |
100-500 |
購(gòu)物車(chē)
幫助
021-54845833/15800441009
