|
Background: |
GPR89A is a nearly identical copy of the GPR89B gene (MIM 612806). Voltage dependent anion channel required for acidification and functions of the Golgi apparatus that may function in counter-ion conductance. |
|
Applications: |
ELISA, IHC |
|
Name of antibody: |
GPR89A/GPR89B |
|
Immunogen: |
Synthetic peptide of human GPR89A/GPR89B |
|
Full name: |
G protein-coupled receptor 89A/B |
|
Synonyms: |
GPHR; GPR89; SH120; GPR89B; GPR89C; UNQ192 |
|
SwissProt: |
B7ZAQ6/P0CG08 |
|
ELISA Recommended dilution: |
5000-10000 |
|
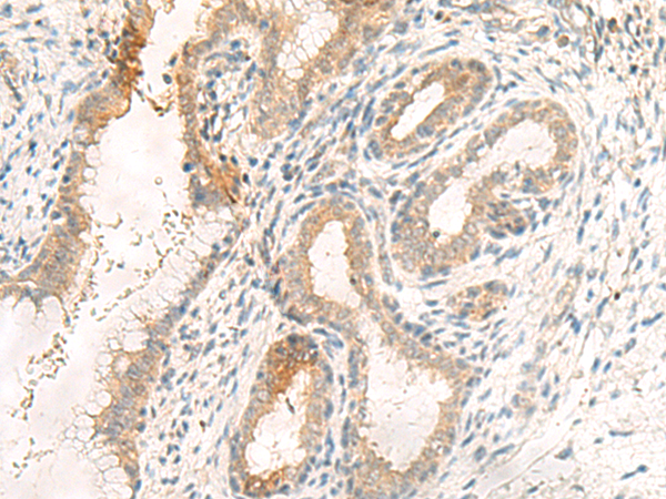
IHC positive control: |
Human tonsil and Human cervical cancer |
|
IHC Recommend dilution: |
30-150 |


購物車
幫助
021-54845833/15800441009
