中文名稱:兔抗AHCYL1多克隆抗體
|
Background: |
The protein encoded by this gene interacts with inositol 1,4,5-trisphosphate receptor, type 1 and may be involved in the conversion of S-adenosyl-L-homocysteine to L-homocysteine and adenosine. Several transcript variants encoding two different isoforms have been found for this gene. |
|
Applications: |
ELISA, IHC |
|
Name of antibody: |
AHCYL1 |
|
Immunogen: |
Fusion protein of human AHCYL1 |
|
Full name: |
adenosylhomocysteinase like 1 |
|
Synonyms: |
DCAL; IRBIT; PPP1R78; PRO0233; XPVKONA |
|
SwissProt: |
O43865 |
|
ELISA Recommended dilution: |
5000-10000 |
|
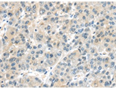
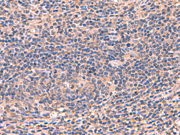
IHC positive control: |
Human cervical cancer |
|
IHC Recommend dilution: |
50-300 |
購(gòu)物車
幫助
021-54845833/15800441009
