中文名稱:兔抗C8orf44多克隆抗體
|
Background: |
The function of this protein remains unknown. |
|
Applications: |
ELISA, WB, IHC |
|
Name of antibody: |
C8orf44 |
|
Immunogen: |
Fusion protein of human C8orf44 |
|
Full name: |
chromosome 8 open reading frame 44 |
|
SwissProt: |
Q96CB5 |
|
ELISA Recommended dilution: |
5000-10000 |
|
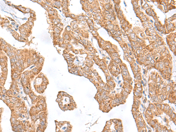
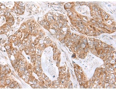
IHC positive control: |
Human thyroid cancer and Human gastric cancer |
|
IHC Recommend dilution: |
40-200 |
|
WB Predicted band size: |
18 kDa |
|
WB Positive control: |
K562 cell, Human kidney tissue lysates |
|
WB Recommended dilution: |
200-1000 |



購物車
幫助
021-54845833/15800441009
