中文名稱:兔抗AHI1多克隆抗體
|
Background: |
This gene is apparently required for both cerebellar and cortical development in humans. This gene mutations cause specific forms of Joubert syndrome-related disorders. Joubert syndrome (JS) is a recessively inherited developmental brain disorder with several identified causative chromosomal loci. Alternatively spliced transcript variants encoding different isoforms have been identified. |
|
Applications: |
ELISA, IHC |
|
Name of antibody: |
AHI1 |
|
Immunogen: |
Synthetic peptide of humanAHI1 |
|
Full name: |
Abelson helper integration site 1 |
|
Synonyms: |
ORF1; AHI-1; JBTS3; dJ71N10.1 |
|
SwissProt: |
Q8N157 |
|
ELISA Recommended dilution: |
2000-5000 |
|
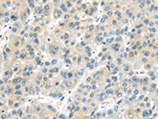
IHC positive control: |
Human liver cancer |
|
IHC Recommend dilution: |
25-100 |
購(gòu)物車
幫助
021-54845833/15800441009
