|
Background: |
The Golgi apparatus, which participates in glycosylation and transport of proteins and lipids in the secretory pathway, consists of a series of stacked cisternae (flattened membrane sacs). Interactions between the Golgi and microtubules are thought to be important for the reorganization of the Golgi after it fragments during mitosis. This gene encodes a member of the golgin family of proteins which are localized to the Golgi. Its encoded protein has been postulated to play a role in nuclear transport and Golgi apparatus localization. Several alternatively spliced transcript variants that encode different protein isoforms have been described for this gene. |
|
Applications: |
ELISA, WB, IHC |
|
Name of antibody: |
GOLGA3 |
|
Immunogen: |
Synthetic peptide of human GOLGA3 |
|
Full name: |
golgin A3 |
|
Synonyms: |
MEA-2; GCP170 |
|
SwissProt: |
Q08378 |
|
ELISA Recommended dilution: |
5000-10000 |
|
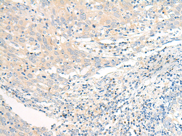
IHC positive control: |
Human ovarian cancer and Human cervical cancer |
|
IHC Recommend dilution: |
20-100 |
|
WB Predicted band size: |
167 kDa |
|
WB Positive control: |
HepG2 cell lysate |
|
WB Recommended dilution: |
200-1000 |


購物車
幫助
021-54845833/15800441009
