中文名稱: 兔抗GJB2多克隆抗體
英文名稱: Anti-GJB2 rabbit polyclonal antibody
宿 主: Rabbit
抗 原: GJB2
|
Background: |
This gene encodes a member of the gap junction protein family. The gap junctions were first characterized by electron microscopy as regionally specialized structures on plasma membranes of contacting adherent cells. These structures were shown to consist of cell-to-cell channels that facilitate the transfer of ions and small molecules between cells. The gap junction proteins, also known as connexins, purified from fractions of enriched gap junctions from different tissues differ. According to sequence similarities at the nucleotide and amino acid levels, the gap junction proteins are divided into two categories, alpha and beta. Mutations in this gene are responsible for as much as 50% of pre-lingual, recessive deafness. |
|
Applications: |
ELISA, IHC |
|
Name of antibody: |
GJB2 |
|
Immunogen: |
Synthetic peptide of human GJB2 |
|
Full name: |
gap junction protein, beta 2, 26kDa |
|
Synonyms: |
HID, KID, PPK, CX26, DFNA3, DFNB1, NSRD1, DFNA3A, DFNB1A |
|
SwissProt: |
P29033 |
|
ELISA Recommended dilution: |
1000-10000 |
|
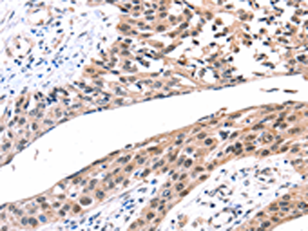
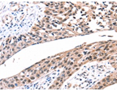
IHC positive control: |
Human esophagus cancer |
|
IHC Recommend dilution: |
100-300 |

購物車
幫助
021-54845833/15800441009
