|
Background: |
The protein encoded by this gene is a nuclear protein that forms intranuclear foci during proliferation and is redistributed in the nucleoplasm during the cell cycle. Short-wave ultraviolet light provokes the relocalization of the protein, suggesting its participation in the cellular response to DNA damage. Originally selected based on protein-binding with RecA antibodies, the mouse protein presents a limited similarity with a functional domain of the bacterial RecA protein, a characteristic shared by this human ortholog. Alternative splicing of this gene results in multiple transcript variants. [provided by RefSeq, Jan 2012] |
|
Applications: |
ELISA, IHC |
|
Name of antibody: |
KIN |
|
Immunogen: |
Fusion protein of human KIN |
|
Full name: |
Kin17 DNA and RNA binding protein |
|
Synonyms: |
BTCD; Rts2; KIN17 |
|
SwissProt: |
O60870 |
|
ELISA Recommended dilution: |
5000-10000 |
|
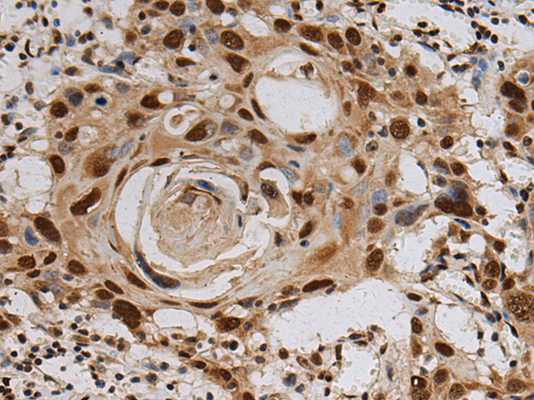
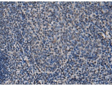
IHC positive control: |
Human esophagus cancer and Human tonsil |
|
IHC Recommend dilution: |
100-300 |


購物車
幫助
021-54845833/15800441009
