中文名稱:兔抗WNT5B多克隆抗體
|
Background: |
The WNT gene family consists of structurally related genes which encode secreted signaling proteins. These proteins have been implicated in oncogenesis and in several developmental processes, including regulation of cell fate and patterning during embryogenesis. This gene is a member of the WNT gene family. It encodes a protein which shows 94% and 80% amino acid identity to the mouse Wnt5b protein and the human WNT5A protein, respectively. Alternative splicing of this gene generates 2 transcript variants. |
|
Applications: |
ELISA, IHC |
|
Name of antibody: |
WNT5B |
|
Immunogen: |
Synthetic peptide of human WNT5B |
|
Full name: |
Wnt family member 5B |
|
SwissProt: |
Q9H1J7 |
|
ELISA Recommended dilution: |
5000-10000 |
|
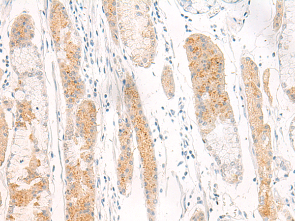
IHC positive control: |
Human gastric cancer |
|
IHC Recommend dilution: |
30-150 |
購(gòu)物車
幫助
021-54845833/15800441009
