中文名稱:兔抗ATF6B多克隆抗體
|
Background: |
The protein encoded by this gene is a transcription factor in the unfolded protein response (UPR) pathway during ER stress. Either as a homodimer or as a heterodimer with ATF6-alpha, the encoded protein binds to the ER stress response element, interacting with nuclear transcription factor Y to activate UPR target genes. The protein is normally found in the membrane of the endoplasmic reticulum; however, under ER stress, the N-terminal cytoplasmic domain is cleaved from the rest of the protein and translocates to the nucleus. Two transcript variants encoding different isoforms have been found for this gene. |
|
Applications: |
ELISA, WB, IHC |
|
Name of antibody: |
ATF6B |
|
Immunogen: |
Fusion protein of human ATF6B |
|
Full name: |
activating transcription factor 6 beta |
|
Synonyms: |
G13; CREBL1; CREB-RP |
|
SwissProt: |
Q99941 |
|
ELISA Recommended dilution: |
5000-10000 |
|
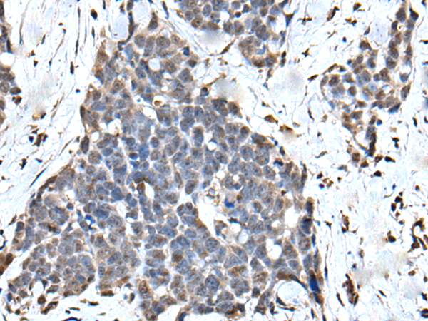
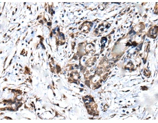
IHC positive control: |
Human thyroid cancer and human gastric cancer |
|
IHC Recommend dilution: |
25-100 |
|
WB Predicted band size: |
77 kDa |
|
WB Positive control: |
Jurkat and Hela cell lysates |
|
WB Recommended dilution: |
200-1000 |



購(gòu)物車
幫助
021-54845833/15800441009
