|
Background: |
The protein encoded by this gene is a phosphatidylinositol 3-phosphate binding protein, which contains a FYVE zinc finger domain and multiple WD-40 repeat domains. When exogenously expressed, it localizes to early endosomes. Mutagenesis analysis demonstrates that this endosomal localization is mediated by the FYVE domain. |
|
Applications: |
ELISA, WB, IHC |
|
Name of antibody: |
WDFY1 |
|
Immunogen: |
Fusion protein of human WDFY1 |
|
Full name: |
WD repeat and FYVE domain containing 1 |
|
Synonyms: |
WDF1; FENS-1; ZFYVE17 |
|
SwissProt: |
Q8IWB7 |
|
ELISA Recommended dilution: |
5000-10000 |
|
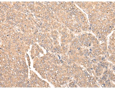
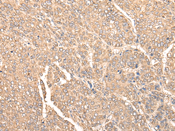
IHC positive control: |
Human liver cancer |
|
IHC Recommend dilution: |
25-100 |
|
WB Predicted band size: |
46 kDa |
|
WB Positive control: |
Human heart tissue and Mouse heart tissue lysates |
|
WB Recommended dilution: |
200-1000 |

購物車
幫助
021-54845833/15800441009
