中文名稱:兔抗CISH多克隆抗體
|
Background: |
The protein encoded by this gene contains a SH2 domain and a SOCS box domain. The protein thus belongs to the cytokine-induced STAT inhibitor (CIS), also known as suppressor of cytokine signaling (SOCS) or STAT-induced STAT inhibitor (SSI), protein family. CIS family members are known to be cytokine-inducible negative regulators of cytokine signaling. The expression of this gene can be induced by IL2, IL3, GM-CSF and EPO in hematopoietic cells. Proteasome-mediated degradation of this protein has been shown to be involved in the inactivation of the erythropoietin receptor. Multiple transcript variants encoding different isoforms have been found for this gene. |
|
Applications: |
ELISA, IHC |
|
Name of antibody: |
CISH |
|
Immunogen: |
Fusion protein of human CISH |
|
Full name: |
cytokine inducible SH2 containing protein |
|
Synonyms: |
CIS; G18; SOCS; CIS-1; BACTS2 |
|
SwissProt: |
Q9NSE2 |
|
ELISA Recommended dilution: |
5000-10000 |
|
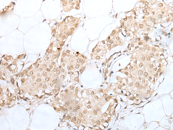
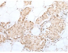
IHC positive control: |
Human esophagus cancer and Human thyroid cancer |
|
IHC Recommend dilution: |
100-300 |


購物車
幫助
021-54845833/15800441009
