中文名稱:兔抗CRYM多克隆抗體
|
Background: |
Crystallins are separated into two classes: taxon-specific and ubiquitous. The former class is also called phylogenetically-restricted crystallins. The latter class constitutes the major proteins of vertebrate eye lens and maintains the transparency and refractive index of the lens. This gene encodes a taxon-specific crystallin protein that binds NADPH and has sequence similarity to bacterial ornithine cyclodeaminases. The encoded protein does not perform a structural role in lens tissue, and instead it binds thyroid hormone for possible regulatory or developmental roles. Mutations in this gene have been associated with autosomal dominant non-syndromic deafness. |
|
Applications: |
ELISA, WB, IHC |
|
Name of antibody: |
CRYM |
|
Immunogen: |
Fusion protein of human CRYM |
|
Full name: |
crystallin mu |
|
Synonyms: |
THBP; DFNA40 |
|
SwissProt: |
Q14894 |
|
ELISA Recommended dilution: |
5000-10000 |
|
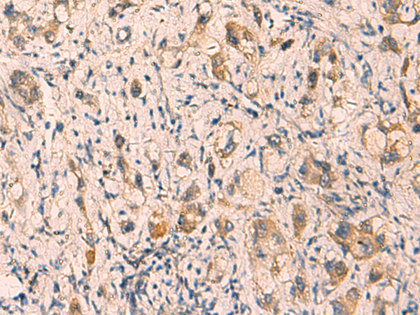
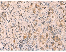
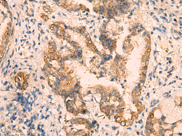
IHC positive control: |
Human cervical cancer and Human liver cancer |
|
IHC Recommend dilution: |
50-200 |
|
WB Predicted band size: |
34 kDa |
|
WB Positive control: |
Human heart tissue lysate |
|
WB Recommended dilution: |
500-2000 |


購物車
幫助
021-54845833/15800441009
