中文名稱:兔抗CRYZL1多克隆抗體
|
Background: |
This gene encodes a protein that has sequence similarity to zeta crystallin, also known as quinone oxidoreductase. This zeta crystallin-like protein also contains an NAD(P)H binding site. Alternatively spliced transcript variants have been observed but their full-length nature has not been completely determined. |
|
Applications: |
ELISA, IHC |
|
Name of antibody: |
CRYZL1 |
|
Immunogen: |
Full length fusion protein |
|
Full name: |
crystallin, zeta (quinone reductase)-like 1 |
|
Synonyms: |
4P11; QOH-1 |
|
SwissProt: |
O95825 |
|
ELISA Recommended dilution: |
5000-10000 |
|
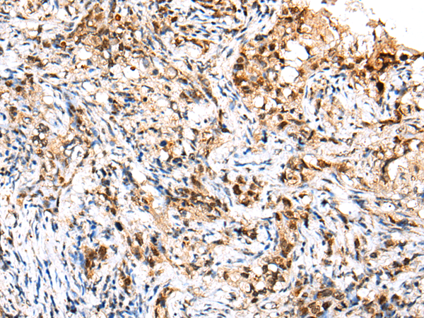
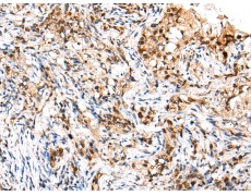
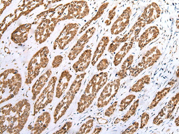
IHC positive control: |
Human esophagus cancer and human lung cancer |
|
IHC Recommend dilution: |
25-100 |

購(gòu)物車
幫助
021-54845833/15800441009
