|
Background: |
The protein encoded by this gene is the common beta chain of the high affinity receptor for IL-3, IL-5 and CSF. Defects in this gene have been reported to be associated with protein alveolar proteinosis (PAP). |
|
Applications: |
ELISA, IHC |
|
Name of antibody: |
CSF2RB |
|
Immunogen: |
Synthetic peptide of human CSF2RB |
|
Full name: |
colony stimulating factor 2 receptor, beta, low-affinity (granulocyte-macrophage) |
|
Synonyms: |
CD131; IL3RB; IL5RB; SMDP5; CDw131 |
|
SwissProt: |
P32927 |
|
ELISA Recommended dilution: |
1000-2000 |
|
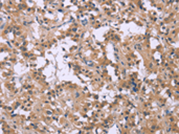
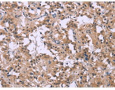
IHC positive control: |
Human thyroid cancer and Human liver cancer |
|
IHC Recommend dilution: |
25-100 |
購物車
幫助
021-54845833/15800441009
