中文名稱: 兔抗CWF19L1多克隆抗體
|
Background: |
This gene encodes a member of the CWF19 protein family. Mutations in this gene have been associated with autosomal recessive spinocerebellar ataxia-17 and mild cognitive disability. Alternative splicing results in multiple transcript variants. |
|
Applications: |
ELISA, IHC |
|
Name of antibody: |
CWF19L1 |
|
Immunogen: |
Fusion protein of human CWF19L1 |
|
Full name: |
CWF19 like cell cycle control factor 1 |
|
Synonyms: |
C19L1; hDrn1; SCAR17 |
|
SwissProt: |
Q69YN2 |
|
ELISA Recommended dilution: |
5000-10000 |
|
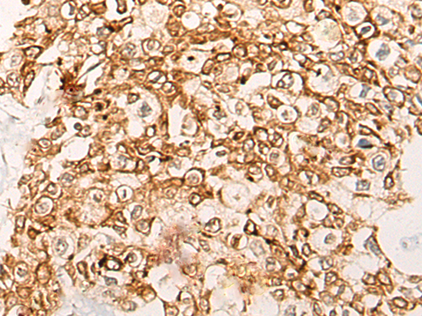
IHC positive control: |
Human prostate cancer |
|
IHC Recommend dilution: |
20-100 |
購物車
幫助
021-54845833/15800441009
