中文名稱: 兔抗TRO多克隆抗體
|
Background: |
This gene encodes a membrane protein that mediates cell adhesion between trophoblastic cells and the epithelial cells of the endometrium. The encoded protein participates in cell signalling during embryo implantation, and may also be involved in cancer formation. This gene is located near several other closely related genes on chromosome X. Alternative splicing results in multiple transcript variants. |
|
Applications: |
ELISA, IHC |
|
Name of antibody: |
TRO |
|
Immunogen: |
Fusion protein of human TRO |
|
Full name: |
trophinin |
|
Synonyms: |
MAGED3; MAGE-d3 |
|
SwissProt: |
Q12816 |
|
ELISA Recommended dilution: |
5000-10000 |
|
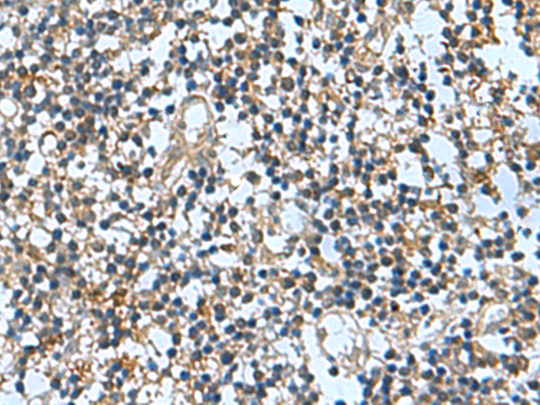
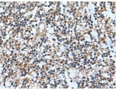
IHC positive control: |
Human tonsil |
|
IHC Recommend dilution: |
50-100 |

購(gòu)物車
幫助
021-54845833/15800441009
