|
Background: |
The structure of the protein encoded by this gene is highly related to both the protein ankyrin and transmembrane proteins. The specific function of this protein has not yet been determined; however, studies indicate the function may involve a role in signal transduction and growth control. |
|
Applications: |
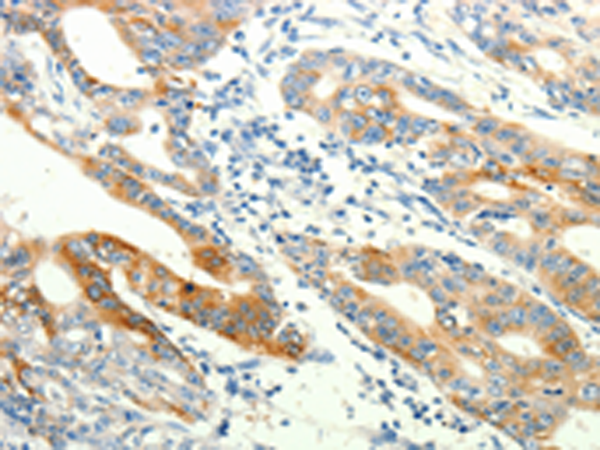
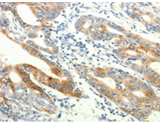
ELISA, IHC |
|
Name of antibody: |
TRPA1 |
|
Immunogen: |
Synthetic peptide of human TRPA1 |
|
Full name: |
transient receptor potential cation channel, subfamily A, member 1 |
|
Synonyms: |
FEPS; ANKTM1 |
|
SwissProt: |
O75762 |
|
IHC positive control: |
Human gastric cancer and human lung cancer |
|
IHC Recommend dilution: |
25-100 |

購(gòu)物車
幫助
021-54845833/15800441009
