中文名稱: 兔抗CYB5R3多克隆抗體
|
Background: |
This gene encodes cytochrome b5 reductase, which includes a membrane-bound form in somatic cells (anchored in the endoplasmic reticulum, mitochondrial and other membranes) and a soluble form in erythrocytes. The membrane-bound form exists mainly on the cytoplasmic side of the endoplasmic reticulum and functions in desaturation and elongation of fatty acids, in cholesterol biosynthesis, and in drug metabolism. The erythrocyte form is located in a soluble fraction of circulating erythrocytes and is involved in methemoglobin reduction. The membrane-bound form has both membrane-binding and catalytic domains, while the soluble form has only the catalytic domain. Alternate splicing results in multiple transcript variants. Mutations in this gene cause methemoglobinemias. |
|
Applications: |
ELISA, IHC |
|
Name of antibody: |
CYB5R3 |
|
Immunogen: |
Synthetic peptide of human CYB5R3 |
|
Full name: |
cytochrome b5 reductase 3 |
|
Synonyms: |
B5R; DIA1 |
|
SwissProt: |
P00387 |
|
ELISA Recommended dilution: |
5000-10000 |
|
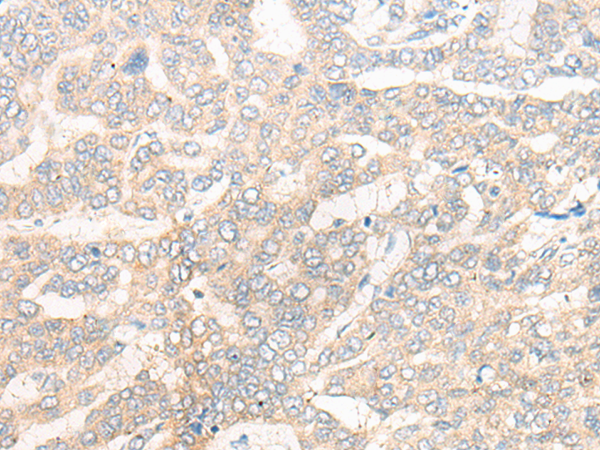
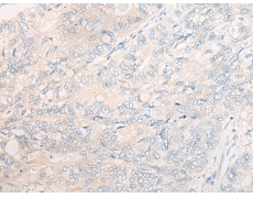
IHC positive control: |
Human liver cancer and Human gastric cancer |
|
IHC Recommend dilution: |
30-150 |

購物車
幫助
021-54845833/15800441009
