|
Background: |
This gene encodes a member of the cytochrome P450 superfamily of enzymes. The cytochrome P450 proteins are monooxygenases which catalyze many reactions involved in drug metabolism and synthesis of cholesterol, steroids and other lipids. This protein likely localizes to the endoplasmic reticulum. When expressed in yeast the enzyme is capable of oxdizing arachidonic acid. It can also catalyze the epoxidation of 22:6n-3 and 22:5n-3 polyunsaturated long-chain fatty acids. This gene is part of a cluster of cytochrome P450 genes on chromosome 19. Alternative splicing results in multiple transcript variants. |
|
Applications: |
ELISA, IHC |
|
Name of antibody: |
CYP4F12 |
|
Immunogen: |
Fusion protein corresponding to a region derived from 325-524 amino acids of human CYP4F12 |
|
Full name: |
cytochrome P450 family 4 subfamily F member 12 |
|
Synonyms: |
CYPIVF12; F22329_1 |
|
SwissProt: |
Q9HCS2 |
|
ELISA Recommended dilution: |
5000-10000 |
|
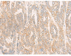
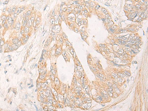
IHC Positive control: |
Human gastric cancer;Human liver cancer |
|
IHC Recommended dilution: |
20-100 |

購物車
幫助
021-54845833/15800441009
