中文名稱: 兔抗DACT1多克隆抗體
|
Background: |
The protein encoded by this gene belongs to the dapper family, characterized by the presence of PDZ-binding motif at the C-terminus. It interacts with, and positively regulates dishevelled-mediated signaling pathways during development. Depletion of this mRNA from xenopus embryos resulted in loss of notochord and head structures, and mice lacking this gene died shortly after birth from severe posterior malformations. Alternatively spliced transcript variants have been found for this gene. |
|
Applications: |
ELISA, IHC |
|
Name of antibody: |
DACT1 |
|
Immunogen: |
Synthetic peptide of human DACT1 |
|
Full name: |
dishevelled binding antagonist of beta catenin 1 |
|
Synonyms: |
DPR1; FRODO; HDPR1; DAPPER; THYEX3; DAPPER1 |
|
SwissProt: |
Q9NYF0 |
|
ELISA Recommended dilution: |
5000-10000 |
|
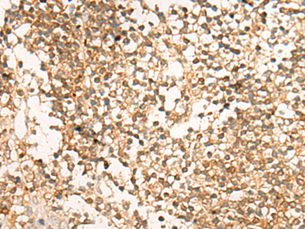
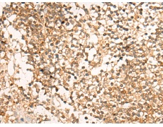
IHC positive control: |
Human colorectal cancer and Human tonsil |
|
IHC Recommend dilution: |
20-100 |

購物車
幫助
021-54845833/15800441009
