|
Background: |
Members of the AB hydrolase superfamily have diverse catalytic functions and play a crucial role in the metabolism of lipids. DAGLβ (diacylglycerol lipase beta), also known as KCCR13L, is a 672 amino acid multi-pass membrane protein that belongs to the AB hydrolase superfamily. DAGLβ uses calcium as a cofactor to catalyze the hydrolysis of diacylglycerol (DAG) to 2-arachidonoyl-glycerol (2-AG), a reaction that is required for axonal growth and for retrograde synaptic signaling at mature synapses. DAGLβ functions at an optimal pH of 7 and its activity is inhibited by p-hydroxy-mercuri-benzoate and HgCl2, but not PMSF. There are three isoforms of DAGLβ that are produced as a result of alternative splicing events. |
|
Applications: |
ELISA, IHC |
|
Name of antibody: |
DAGLB |
|
Immunogen: |
Synthetic peptide of human DAGLB |
|
Full name: |
diacylglycerol lipase beta |
|
Synonyms: |
KCCR13L; DAGLBETA |
|
SwissProt: |
Q8NCG7 |
|
ELISA Recommended dilution: |
5000-10000 |
|
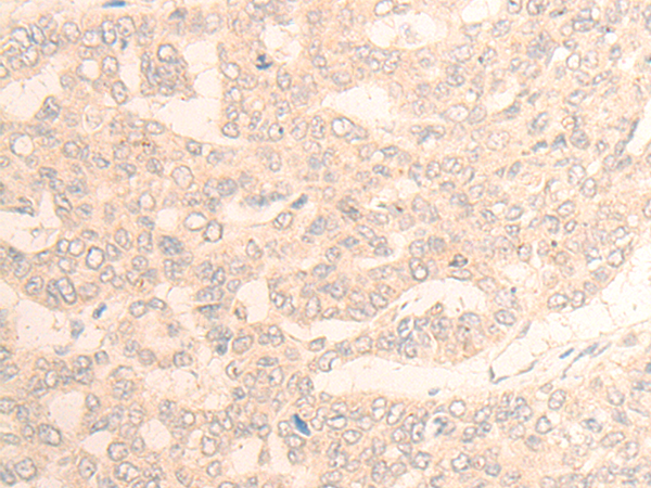
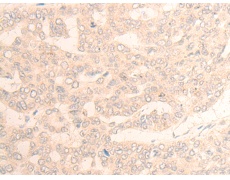
IHC positive control: |
Human liver cancer |
|
IHC Recommend dilution: |
20-100 |
購(gòu)物車
幫助
021-54845833/15800441009
