|
Background: |
This gene encodes a component of the oligosaccharyltransferase complex which catalyzes the transfer of high-mannose oligosaccharides to asparagine residues on nascent polypeptides in the lumen of the rough endoplasmic reticulum. The protein complex co-purifies with ribosomes. The product of this gene is also implicated in the processing of advanced glycation endproducts (AGEs), which form from non-enzymatic reactions between sugars and proteins or lipids and are associated with aging and hyperglycemia. |
|
Applications: |
ELISA, WB, IHC |
|
Name of antibody: |
DDOST |
|
Immunogen: |
Fusion protein of human DDOST |
|
Full name: |
dolichyl-diphosphooligosaccharide--protein glycosyltransferase non-catalytic subunit |
|
Synonyms: |
OST; WBP1; AGER1; CDG1R; OST48; OKSWcl45 |
|
SwissProt: |
P39656 |
|
ELISA Recommended dilution: |
5000-10000 |
|
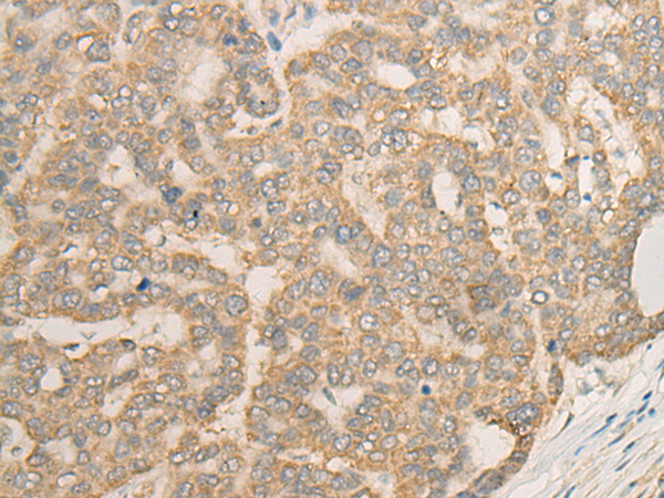
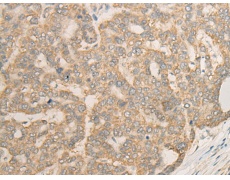
IHC positive control: |
Human liver cancer |
|
IHC Recommend dilution: |
25-100 |
|
WB Predicted band size: |
51 kDa |
|
WB Positive control: |
A172, HepG2 and LOVO cell lysates |
|
WB Recommended dilution: |
200-1000 |

購物車
幫助
021-54845833/15800441009
