中文名稱: 兔抗DDT多克隆抗體
|
Background: |
D-dopachrome tautomerase converts D-dopachrome into 5,6-dihydroxyindole. The DDT gene is related to the migration inhibitory factor (MIF) in terms of sequence, enzyme activity, and gene structure. DDT and MIF are closely linked on chromosome 22. |
|
Applications: |
ELISA, WB, IHC |
|
Name of antibody: |
DDT |
|
Immunogen: |
Synthetic peptide of human DDT |
|
Full name: |
D-dopachrome tautomerase |
|
Synonyms: |
D-DT; DDCT; MIF2; MIF-2 |
|
SwissProt: |
P30046 |
|
ELISA Recommended dilution: |
5000-10000 |
|
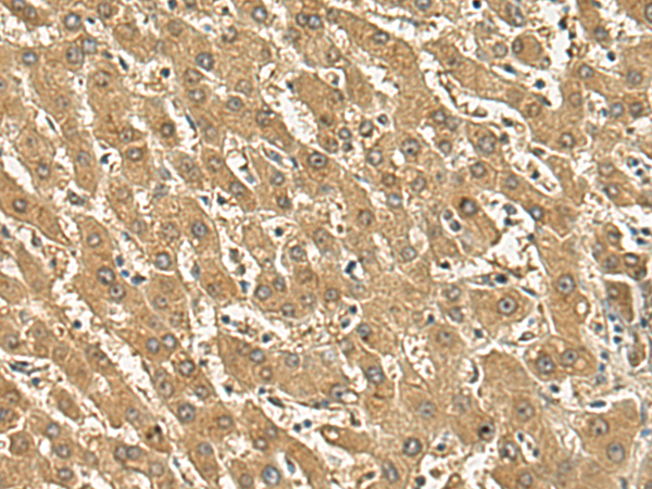
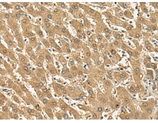
IHC positive control: |
Human liver cancer |
|
IHC Recommend dilution: |
50-100 |
|
WB Predicted band size: |
13 kDa |
|
WB Positive control: |
Human liver tissue lysate |
|
WB Recommended dilution: |
1000-5000 |


購物車
幫助
021-54845833/15800441009
