|
Background: |
Guanine nucleotide exchange factor (GEF) which may activate RAB6A and RAB39A and/or RAB39B. Promotes the exchange of GDP to GTP, converting inactive GDP-bound Rab proteins into their active GTP-bound form. |
|
Applications: |
ELISA, IHC |
|
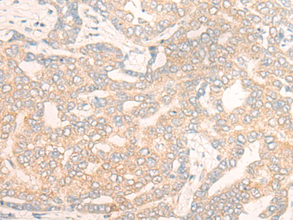
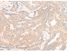
Name of antibody: |
DENND5A |
|
Immunogen: |
Fusion protein corresponding to a region derived from 1088-1287 amino acids of human DENND5A |
|
Full name: |
DENN domain containing 5A |
|
Synonyms: |
RAB6IP1 |
|
SwissProt: |
Q6IQ26 |
|
ELISA Recommended dilution: |
5000-10000 |
|
IHC Positive control: |
Human liver cancer; |
|
IHC Recommended dilution: |
20-100 |
購物車
幫助
021-54845833/15800441009
