中文名稱: 兔抗TUFT1多克隆抗體
|
Background: |
Tuftelin is an acidic protein that is thought to play a role in dental enamel mineralization and is implicated in caries susceptibility. It is also thought to be involved with adaptation to hypoxia, mesenchymal stem cell function, and neurotrophin nerve growth factor mediated neuronal differentiation. |
|
Applications: |
ELISA, IHC |
|
Name of antibody: |
TUFT1 |
|
Immunogen: |
Fusion protein of human TUFT1 |
|
Full name: |
tuftelin 1 |
|
SwissProt: |
Q9NNX1 |
|
ELISA Recommended dilution: |
5000-10000 |
|
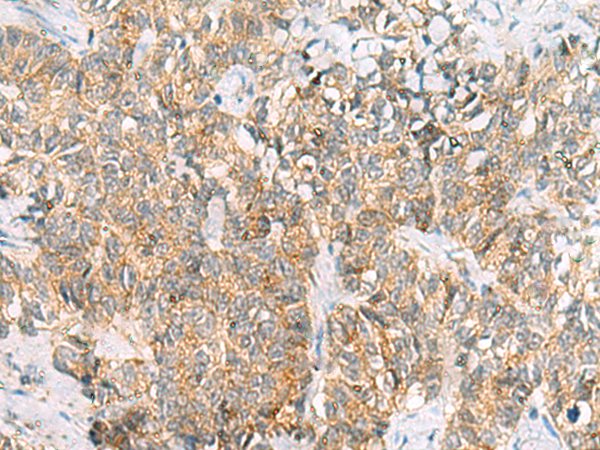
IHC positive control: |
Human cervical cancer and Human ovarian cancer |
|
IHC Recommend dilution: |
100-300 |


購(gòu)物車
幫助
021-54845833/15800441009
