中文名稱: 兔抗DOK6多克隆抗體
|
Background: |
DOK6 is a member of the DOK (see DOK1; MIM 602919) family of intracellular adaptors that play a role in the RET (MIM 164761) signaling cascade (Crowder et al., 2004 [PubMed 15286081]). |
|
Applications: |
ELISA, IHC |
|
Name of antibody: |
DOK6 |
|
Immunogen: |
Synthetic peptide of human DOK6 |
|
Full name: |
docking protein 6 |
|
Synonyms: |
DOK5L; HsT3226 |
|
SwissProt: |
Q6PKX4 |
|
ELISA Recommended dilution: |
1000-2000 |
|
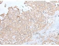
IHC positive control: |
Human ovarian cancer |
|
IHC Recommend dilution: |
20-100 |
購物車
幫助
021-54845833/15800441009
