|
Background: |
The protein encoded by this gene is a member of the dual specificity protein phosphatase subfamily. These phosphatases inactivate their target kinases by dephosphorylating both the phosphoserine/threonine and phosphotyrosine residues. They negatively regulate members of the mitogen-activated protein (MAP) kinase superfamily (MAPK/ERK, SAPK/JNK, p38), which are associated with cellular proliferation and differentiation. Different members of the family of dual specificity phosphatases show distinct substrate specificities for various MAP kinases, different tissue distribution and subcellular localization, and different modes of inducibility of their expression by extracellular stimuli. This gene product inactivates ERK1, is expressed in a variety of tissues with the highest levels in pancreas and brain, and is localized in the nucleus. |
|
Applications: |
ELISA, WB, IHC |
|
Name of antibody: |
DUSP5 |
|
Immunogen: |
Synthetic peptide of human DUSP5 |
|
Full name: |
dual specificity phosphatase 5 |
|
Synonyms: |
DUSP; HVH3 |
|
SwissProt: |
Q16690 |
|
ELISA Recommended dilution: |
5000-10000 |
|
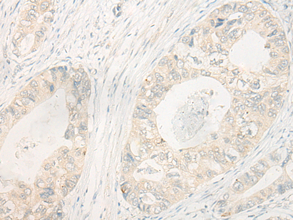
IHC positive control: |
Human gastric cancer |
|
IHC Recommend dilution: |
20-100 |
|
WB Predicted band size: |
42 kDa |
|
WB Positive control: |
K562 cell lysate |
|
WB Recommended dilution: |
200-1000 |

購物車
幫助
021-54845833/15800441009
