中文名稱:兔抗DUSP14多克隆抗體
|
Background: |
Dual-specificity phosphatases (DUSPs) constitute a large heterogeneous subgroup of the type I cysteine-based protein-tyrosine phosphatase superfamily. DUSPs are characterized by their ability to dephosphorylate both tyrosine and serine/threonine residues. They have been implicated as major modulators of critical signaling pathways. DUSP14 contains the consensus DUSP C-terminal catalytic domain but lacks the N-terminal CH2 domain found in the MKP (mitogen-activated protein kinase phosphatase) class of DUSPs. |
|
Applications: |
ELISA, IHC |
|
Name of antibody: |
DUSP14 |
|
Immunogen: |
Fusion protein of human DUSP14 |
|
Full name: |
dual specificity phosphatase 14 |
|
Synonyms: |
MKP6; MKP-L |
|
SwissProt: |
O95147 |
|
ELISA Recommended dilution: |
1000-2000 |
|
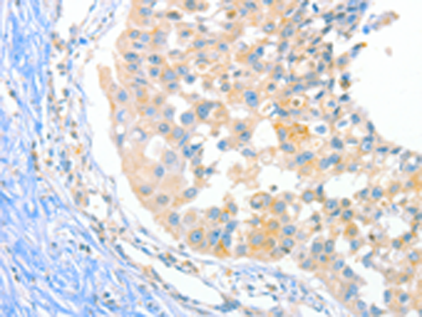
IHC positive control: |
Human breast cancer and human esophagus cancer |
|
IHC Recommend dilution: |
15-50 |
購物車
幫助
021-54845833/15800441009
