|
Background: |
This gene encodes a secreted endothelial cell protein that contains two epidermal growth factor-like domains. The encoded protein may play a role in regulating vasculogenesis. This protein may be involved in the growth and proliferation of tumor cells. Alternate splicing results in multiple transcript variants. |
|
Applications: |
ELISA, IHC |
|
Name of antibody: |
EGFL7 |
|
Immunogen: |
Fusion protein of human EGFL7 |
|
Full name: |
EGF-like-domain, multiple 7 |
|
Synonyms: |
NEU1, ZNEU1, VE-STATIN, RP11-251M1.2 |
|
SwissProt: |
Q9UHF1 |
|
ELISA Recommended dilution: |
1000-5000 |
|
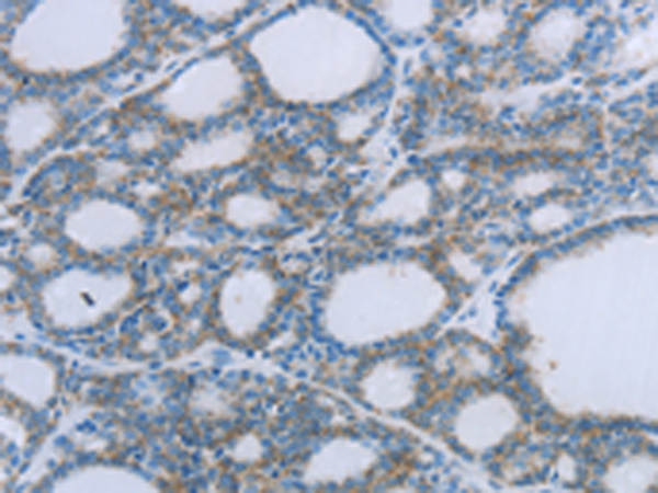
IHC positive control: |
Human thyroid cancer |
|
IHC Recommend dilution: |
25-100 |
購物車
幫助
021-54845833/15800441009
