中文名稱(chēng): 兔抗UBE2A多克隆抗體
|
Background: |
The modification of proteins with ubiquitin is an important cellular mechanism for targeting abnormal or short-lived proteins for degradation. Ubiquitination involves at least three classes of enzymes: ubiquitin-activating enzymes, ubiquitin-conjugating enzymes, and ubiquitin-protein ligases. This gene encodes a member of the E2 ubiquitin-conjugating enzyme family. This enzyme is required for post-replicative DNA damage repair, and may play a role in transcriptional regulation. Mutations in this gene are associated with mental retardation. Alternative splicing results in multiple transcript variants. |
|
Applications: |
ELISA, IHC |
|
Name of antibody: |
UBE2A |
|
Immunogen: |
Fusion protein of human UBE2A |
|
Full name: |
ubiquitin conjugating enzyme E2 A |
|
Synonyms: |
UBC2; HHR6A; MRXSN; RAD6A; MRXS30 |
|
SwissProt: |
P49459 |
|
ELISA Recommended dilution: |
5000-10000 |
|
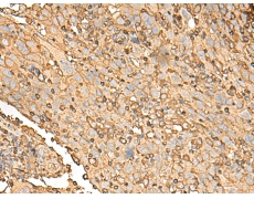
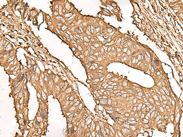
IHC positive control: |
Human cervical cancer and Human colorectal cancer |
|
IHC Recommend dilution: |
50-300 |

購(gòu)物車(chē)
幫助
021-54845833/15800441009
